1.はじめに
2007年4月19日、予防と健康管理の授業の一貫として、NHKのドキュメンタリー番組「アスベスト 住民被害の衝撃」のビデオを観た。最近大きく取り上げられているアスベストの曝露による中皮腫の問題を、提示されたキーワードから検索した論文とビデオの内容から、医師を目指す者として考察を試みる。
2.選んだキーワード
Asbestos cytokine
3.選んだ論文の内容の概略
ヒト悪性中皮腫(malignant mesothelioma;MM)の主たる原因はアスベストである。生体内で、マクロファージはアスベストを貪食し、そしてTNF(tumor necrosis factor:腫瘍壊死因子;腫瘍細胞を壊死させる作用のある物質として発見されたサイトカイン)-αやその他のサイトカインを放出する。これらのサイトカインの発癌のメカニズムはまだ明らかになっていない。試験管内ではアスベストはヒト中皮腫細胞(human mesothelial cells;HM)の形質転換を誘導しない。その代わりアスベストはHMに対して大きな細胞傷害性を示し、広範囲にわたる細胞死を引き起こす。ここで矛盾が生じる。もしHMがアスベストの曝露で細胞死するならば、アスベストはどうMMを引き起こすのか。アスベストがTNF-αの分泌と、HMに存在するTNF-αレセプターの発現を誘導していると考えみた。アスベストのもつ細胞傷害性を大きく減らすにはTNF-αの伴うHMの治療が非常に重要であろう。HM内で化学物質阻害剤やRNA干渉剤を用いて実験したところ、TNF-αがNF-κB(nuclear factor kappa B;細胞外シグナルにより活性化される転写因子)を活性化し、NF-κBの活性化がHMの生き残りとアスベストの影響による細胞傷害性への耐性を導くことが分かった。実験結果からHMがアスベストに反応する媒介として、TNF-αとNF-κBのシグナルが重要な役割を担っていることが分かった。NF-κBを介したTNF-αのシグナルがアスベストの曝露に生き残ったHMの増殖と因果関係をもつ。こうしてアスベストの影響を受けたHMが増える。このHMは悪性のものへと変わりやすい。ということは、アスベストを曝露したHMには異常な細胞分裂中期がみられ、アスベストとTNF-αの両方を曝露したHMにはほとんど細胞分裂に異常はなく、また増殖もみられるのではないかという仮定ができる。
我々がすべきことは、逆説的に、試験管内でアスベストがHMの形質転換を起こさない仕組みを筋道立てて証明し、ヒトの悪性中皮腫(MM)の病因はアスベストにおけるTNF-αの役割が大きく関わっているということを強調し、解明することである。そして、MMに対する予防や治療のために標的となりうる潜在的な分子を突き止めることである。
4.選んだ論文の内容と、ビデオの内容から、自分自身で考えたことを、将来医師になる目で捉えた考察。
「永久不滅」を意味するギリシャ語に由来するアスベストは、一般的に青石綿(クロシドライト)、茶石綿、白石綿の3種類が存在し、主に工業用として使われている。アスベストは酸やアルカリなど化学薬品にも溶けないうえ、熱に強く、燃えない。繊維状なので、布のように織ったり、糸に紡いだりと加工が楽である。何より、天然に広く産出するため、価格が安い。産業界にとって、これほど都合のよい素材はなかった。
用途は幅広く、耐火や断熱、吸音のために、建物の鉄骨や天井、壁にセメントと一緒に混ぜて吹き付けられたほか、劇場などではアスベストで織った防火カーテンが使われた。薬品や熱に強いうえ密着性も高いことから、化学プラントや原子力発電所の配管の継ぎ手のパッキンにも使われた。身近なところでは、魚焼きの網や、トースター、ヘアドライヤーなどの電化製品の断熱用材料にもかつて使われていた。接着剤や日本酒醸造のフィルターなどにも使われ、用途は3000種類にも及ぶという。全国の小・中・高校でも天井などにアスベストが吹き付けられていた。その実態の一部が旧文部省の調査で判明し、「学校パニック」と呼ばれたこともある。
アスベストが使われた屋根板や外壁材、断熱材などは、今も一般家庭に残っている。吹き付けと違い、こうした建材からはアスベストは飛散しにくく、日常生活で吸い込む可能性は低いが、古くなってひび割れた場合や、解体作業時には飛散する恐れがある。
アスベストによる健康被害には、肺がんや、臓器を包み込む薄い膜にできるがんの一種の中皮腫、肺の組織が硬くなって呼吸が苦しくなる石綿肺などがある。いずれも治療の難しい病気だ。特に、中皮腫はアスベストとの関連性が高く、発症者の8割が仕事でアスベストを吸い込んだことが原因とされている。本人も知らずにアスベストを吸い込んでいる場合が多く、潜伏期間も中皮腫で30〜40年間と長い。その間は自覚症状もほとんどなく、発症まで危険性に気づかないことも珍しくない。
アスベスト問題は労働者の健康にかかわる「労災」と考えられていた。それが、一般市民にも影響を及ぼす「公害」ではないかとクローズアップされてきたのは、大手機械メーカー「クボタ」の発表が端緒だった。同社は2005年6月末、アスベストを扱っていた旧神崎工場(
アスベストの付着した作業着を洗濯していた工場の労働者の妻や、アスベストが吹き付けられた店舗で長年勤務していた男性が中皮腫を発症して死亡していたことも、次々に明らかになった。
06年度に新たに労災認定されて保険支給が決まったのは、前年比3倍の肺がん790件、同2倍の中皮腫1006件の計1796件。これまで一般に考えられていた以上に、アスベストの健康被害が深刻なことが浮き彫りになってきている。
どのようにしてアスベストが人に対し悪影響を及ぼすのか、そのメカニズムも明らかになっていない。そんな中、キヌゲネズミの胚細胞を使った実験により、アスベストは有糸分裂の染色体分離への介入で、染色体を形態的や倍数性に変化させることによって悪性への形質転換を引き起こすこと報告されている。
しかし今回の検討において、組織培養中ではアスベストはヒト中皮腫細胞(human mesothelial cells;HM)の形質転換を誘導しない。むしろ、試験管内でアスベストはHMに対し強い細胞傷害性を示す。下図・AはLDH分析による結果で、組織培養中のアスベスト量が多いほど細胞傷害性も高くなることが分かった。なぜならアスベストは直接HMの悪性への形質転換を誘導しているのではないからである。

間接的な発癌メカニズムは現在研究されている。明らかとなっているのはアスベストの曝露後、マクロファージが炎症反応としてアスベストを貪食し、多数のサイトカインや突然変異促進性の活性酸素を放出しているということである。サイトカインの中でTNF-αがアスベストの病原と関係しているが、その根元的な影響のメカニズムは分かっていない。
その検証としてまず、アスベストはHMのTNF-αと、TNF-R1のmRNAの形質発現を誘導しているという実験結果をあらわすデータを下に示す。
Aは、定量可能なリアルタイムPCRによるものである。アスベストを5.0μg/cm2、HMにそれぞれ6、12、24時間曝露させると、TNF-αmRNAの発現は曝露前に比べ3.5倍、4.8倍、7.2倍になった。
Bは、Western blotの解析によるもので、限外濾過によってHMの細胞培養の媒体が集積している。媒体中のアスベストの曝露後48時間でみられるTNF-α量の増殖は顕著である。
Cは、Western blotの解析によるものでHMに様々な量(0.2-10.0μg/cm2)のアスベストを24時間曝露させた。すべての細胞抽出物(40μg)は抗TNF-R1モノクローナル抗体を使うことで分析を行った。GAPDHはコントロールである。

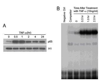
次に、TNF-αはある細胞では細胞死を誘導するようプログラムされているが、たいていはNF-κBの活性化によってTNF-αがあっても細胞は生き残る。このことからTNF-αがHMのNF-κBを誘導することが分かる。そこで、TNF-αはNF-κB p65サブユニットの細胞質から核への移動を誘導し、その効果が細胞が生き残るためのNF-κBの活性化と関連があるかどうか検討した。
AはWestern blotの結果で、TNF-αの曝露前はHMの核内にあるNF-κB p65の量はほとんどなかったが、TNF-α処理後は顕著な増加がみられた。
BはAの結果を助長するもので、EMSAによってTNF-αはNF-κBのDNA-bindingの活性化を促しているという結果が得られた。

他にも、TNF-αはNF-κBのシグナル通してアスベストの細胞傷害性の阻害を行うという結果も得ることができた。
これらの実験に基づく結果によってTNF-αは腫瘍形成と細胞の形質転換に対する重要な媒介として働くということを確固たるものにした。現在、慢性炎症とある一部の癌の間の関係の実態は確立されてきていて、TNF-αは近年、様々な実験に基づくモデルの中でその関係の決定的なエフェクターとして分かってきた。
5.まとめ
2007年5月28日、アスベストによる健康被害について、環境省が大阪、兵庫、佐賀3府県で行った調査で、
今回、アスベストに関する生化学的な論文を読んでみて、アスベストによるHMの発ガン機構を明らかにすることにより、今後潜伏期間中に早期発見し、発症することが未然に防げるのではないかと感じた。